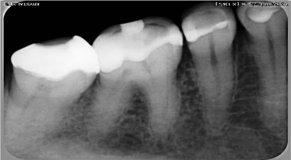
State-Of-The-Art Digital Imaging
Having the best equipment is very important for successful dental work. Dental Spa Dental Specialists uses state-of-the-art digital imaging equipment for main intra and extra oral images during diagnosis and dental treatment. If you or a loved one need dental surgery, digital imaging helps to target specific conditions.


Piccolo Pizzas
Loveme.com
Latin Women Forum